About Digital Smile Design (DSD)
DSD is a multipurpose conceptual software for smile design that comes with many advantages over conventional smile design.
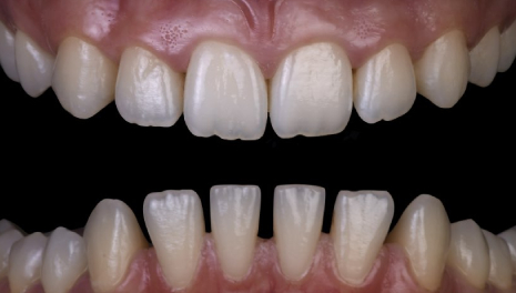
Our aesthetic dentists digitally design the smile using various softwares even prior to commencing work on the patient. The smile is meticulously planned and conceptualized before the work starts. This ensures that once the work begins, there are no surprises and second guesses.
What Makes DSD Different?
Co-Design Your Smile
We believe that a perfect smile is the result of diverse factors and processes put together. Having always implemented innovative dental technologies in our treatments, we are now the pioneers of Digital Smile Design (DSD).
Our patient-centric approach enables us to make them co-designers of their own smile. Through DSD, we aim to bring out a more emotional, artistic and humane facet of dentistry that alleviates the fears and doubts of each patient.
This process allows us to produce superior and stunning smiles that are in harmony with the overall oral health.
Our elite team of internationally trained aesthetic dentists have mastered their art over the course of countless smile makeover cases. Together, we achieve excellence in aesthetic dentistry through a systematic process of diagnosis, treatment planning and execution that involves the patient’s inputs.
